Utah Family Dentist Blog
About Gum Disease
Gum disease is the infection of the tissues surrounding your teeth. It is a major cause of tooth loss in many people. Gum disease is caused by dental plaque, which is the film of bacteria that sticks to the teeth. Some...
Is Stress Hurting Your Dental Health?
April is Stress Awareness Month. The 30-day observance is devoted to raising awareness of the causes and cures for the modern stress epidemic. Too much stress can cause a number of health complications, including...
Oral Cancer Awareness Month
April is Oral Cancer Awareness Month. The Oral Cancer Foundation encourages dental and medical professionals to conduct free oral cancer screenings nationwide throughout April. The observance aims to raise people’s...
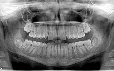
Why Does the Dentist Number my Teeth?
You may have heard your dentist dictating numbers to the dental assistant while examining your teeth. They may say something like this: “Cavity in 4-3, missing 1-8.” With references like these, your dentist is telling...
Should You Get a Metal or Tooth-Colored Filling?
There are different types of filling materials for the teeth. When the dentist needs to fill a cavity, he or she will remove the decay, clean the area, then fill the cavity with some kind of material. A good filling...
Oral Cancer
Cancer is the uncontrolled cell growth that invades the body tissues. Oral cancer is characterized by a sore or growth in the mouth that will not go away. There are several types of oral cancers that may grow on the...





